牙齿矫正是通过正畸或外科手术等方法治疗错颌畸形。通过各种矫正装置来调整颜面骨、牙齿、颌面神经肌肉三者之间的平衡。以矫正牙齿咬合的不正常关系。
牙齿矫正方法
牙齿矫正RTHODONTICS
在线咨询
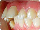
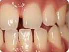
牙齿矫正中较常见的病症就是牙列不齐,牙列不齐是一种口腔疾病,主要表现为:虎牙、双重牙、爬牙、地包天以及开唇露齿等。其发病原因错综复杂,包括先天遗传因素及后天环境因素。目前还无法从遗传基因上控制牙齿后天的整齐程度,进入恒牙列的牙齿出现牙列不齐就不会自行消除,通过牙齿矫正医师的矫正方法就可以达到正常牙列。

精选引进的自锁托槽由德国卡瓦等著名公司生产,工艺卓越。产生的摩擦力较传统托槽小,适合轻力矫治。

半隐形托槽矫正,金铂利口碑品质!陶瓷托槽具有良好的抗污染性和抗变色能力。

进口无托槽矫正专门引进了全球隐形矫治知名品牌-隐适美隐形矫正。

【温馨提示】不一定选贵的,但一定要选对的。无论哪一种矫治器,都只是用于矫正牙齿的工具,关键还是在于正畸医生的技术,所以请按需选择适合自己的矫正方式,以及经验丰富的正畸医师。
















