金铂利三大美白项目之一 —— 美容冠,顾名思义就是一个单独的牙冠,它是将牙齿打磨,医生通过对患者的牙齿的咬合度,运用专业仪器设计与牙齿相吻合的牙冠,进厂生产,最后安装即可。
牙齿美容冠美白
牙齿美白eath Whitening
在线咨询

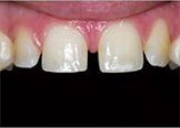
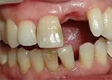
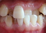
美容冠主要是解决患者牙齿缺失,成人龅牙、排列歪斜牙、畸形牙以及色素牙的美观问题。
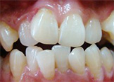
金铂利口腔医师表示,美容冠对牙齿美容可以达到快速矫正修复,无需拔牙,需7天左右,即可洁白整齐牙齿的美容效果。
美容冠美白过程
美容冠美白优势
1、仿生性:在牙齿的形态、色泽、功能、结构、相容性等各个方面比照真牙研究而成。
2、仿真性:较大程度模仿真牙的生物机械性和结构完整性。达到与真牙相似的感觉。
3、美观性:根据、脸型、牙列特点,制定出与本人整体牙列、口腔维度较为匹配的牙齿形态。
4、健康性:采用的生物瓷不会受到酸碱性食物、液体的侵蚀,使牙髓、牙神经得到有效保护。
5、环保性:高硬度、高耐磨性、高耐腐蚀性等优点,避免了冷热酸甜对牙髓的过敏性刺激。
1与牙齿基础条件有关:不同患者由于牙齿病变的情况不同,美容冠所用的材料和矫正牙齿的数量都不同,自然美容冠价格也不同。
2与材料品质有关:美容冠品质不同价格不同,也可以说材料不同价格不同。
3与美容冠制作设备有关:美容冠的材质也因其成分的比例不一样,其价格也不一样。
4与医生技术有关:医生要精通口腔的治疗,也要依赖于临床医师专业的修复理论支撑,规范的操作,正确的设计,和技师的密切配合等。



















